Physical Address
304 North Cardinal St.
Dorchester Center, MA 02124
Physical Address
304 North Cardinal St.
Dorchester Center, MA 02124

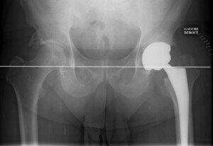
Clinicaccess vous propose des services de haute qualité en matière de chirurgie orthopédique maroc, notamment l’intervention chirurgicale qui vous permet la pose d’une prothèse de la hanche totale qui constitue le remplacement définitif des malheureux cartilages qui ont connu une forte dégradation à cause de l’âge ou bien d’un accident grave au passé. Clinicaccess vous garantit des soins bien établis et appropriés à votre situation, après l’intervention vous serez levés dès le deuxième jour postopératoire par notre kinésithérapeute et les pansements de la cicatrice sont installés une fois tous les quatre jours, vous pouvez même ressortir de la clinique au cinquième jour de votre hospitalisation pour entamer tranquillement votre processus de convalescence. Clinicaccess c’est des solutions efficaces et durables pour vos pépins de santé quel qu’ils soient !